
小児矯正 お子様の歯並びが
気になっている
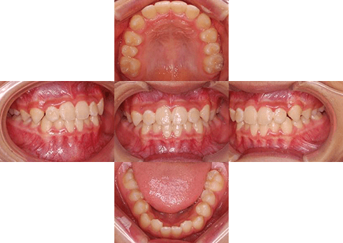
お子様の矯正治療には、将来的な歯並びや噛み合わせを見据えた「予防的な矯正」という考え方があります。成長に合わせて歯の位置や顎の幅を整えることで、永久歯が自然に並びやすい環境づくりを目指します。
小児矯正は一般的に「1期治療」と「2期治療」に分けられます。1期治療は、乳歯から永久歯への生え変わりが始まる6〜12歳ごろが対象です。顎の成長を活かしてスペースの確保や歯列の調整を行います。
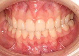
治療期間は1~2年が一般的で、必要に応じて永久歯列に移行したあとに2期治療へ進むこともあります。
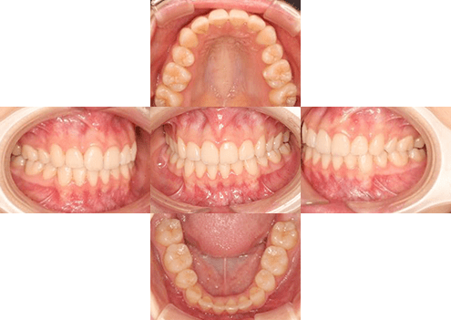
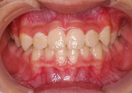
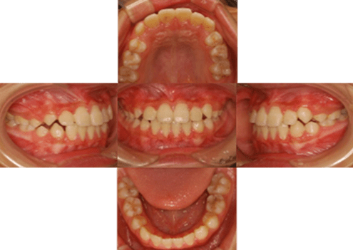
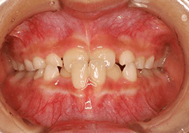
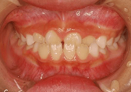
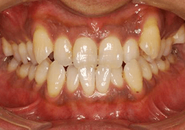
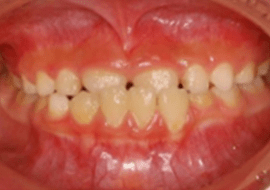
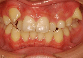
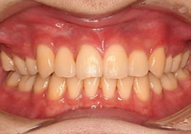
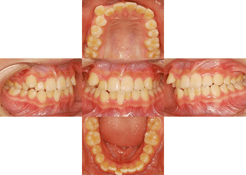
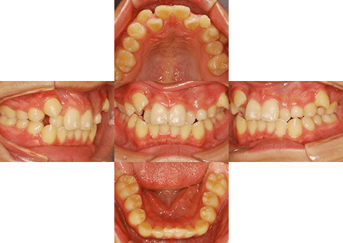
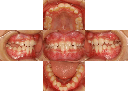
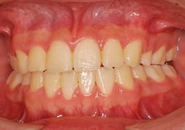
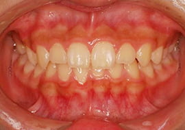
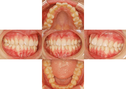
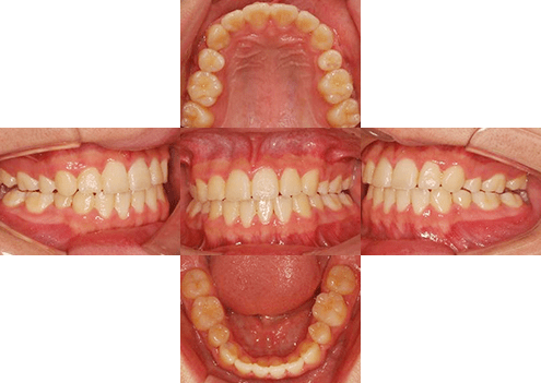
1期治療では主に前歯のでこぼこやすきっ歯を直し、後から生えてくる犬歯や小臼歯のスペースを確保することを目的としています。顎の成長期に行うため、成長段階に応じた調整が可能で、使用する装置や治療方針は年齢や歯並びの状態を踏まえて検討されます。
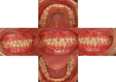
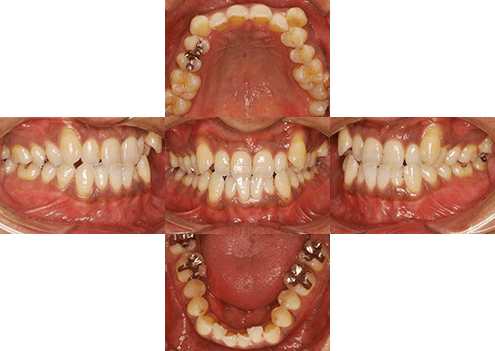
歯並びやご希望に応じて、ワイヤー矯正や透明な矯正装置、取り外し式の床矯正装置など、複数の方法の中から適した装置をご提案しています。



